Biosynthesis of Al-doped ZnO nanoparticles with different Al doping ratio for methylene orange dye degradation activity

By Ahmed Fattah Abdulrahman | Ceramics Internationalhttps://doi.org/10.1016/j.ceramint.2023.08.165Al-doped ZnO nanoparticles were synthesized using the green method for dye degradation activity for t…

Details

DPU-ALDOSKI dataset of MONCON distributed far distances energy consumed system based on IoT

By Mohammed Abdulrazaq M. Sadeeq | Data in BriefDOI: 10.1016/j.dib.2023.109455This article presents the created dataset obtained from implementation of a proposed distributed energy management system…

Details

Car Side impact Design Optimization Problem Using Giant Trevally Optimizer

By Haval Tariq Sadeeq | Structureshttps://doi.org/10.1016/j.istruc.2023.06.016One of the evaluation criteria used to determine the effectiveness of newly developed algorithms is their application to …

Details

Multiple fusion solutions and other waves behavior to the Broer-Kaup-Kupershmidt system

By Azad Piro Shakir | Alexandria Engineering JournalDOI: 10.1016/j.aej.2023.05.052In this article, the Hirota bilinear method is utilized to reveal multi-fusion solutions to the Broer-Kaup-Kupershmid…

Details

Design and implementation of an energy management system based on distributed IoT

By Mohammed Abdulrazaq M. Sadeeq | Computers and Electrical EngineeringDOI: 10.1016/j.compeleceng.2023.108775A Distributed IoT-based energy management system is planned and executed in this article. …

Details

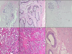
Ensemble of Local Texture Descriptor for Accurate Breast Cancer Detection from Histopathologic Images

By Naaman Omar Yaseen | Journal of Communications Software and SystemsDOI: 10.24138/jcomss-2022-0089Histopathological analysis is important for detection of the breast cancer (BC). Computer-aided dia…

Details

A blind and robust color image watermarking scheme based on DCT and DWT domains

By Abdulhakeem O. Mohammed | Multimedia Tools and ApplicationsDOI: 10.1007/s11042-023-14797-0With the emergence of the Internet of Things (IoT) and many smart gadgets that support artificial intellig…

Details

An Ensemble DCNNs-Based Regression Model for Automatic FB Prediction and Analyzation

By Jwan Najeeb Saeed | Traitement du SignalDOI: 10.18280/ts.400105One of the most effective social aspects of the human face is its attractiveness. Automatic facial beauty prediction (FBP) is an emer…

Details

Effects of chopped CFRP fiber on mechanical properties of concrete

By Mand Kamal Askar | Heliyonhttps://doi.org/10.1016/j.heliyon.2023.e13832Enhancing concrete's mechanical properties has become a prominent field in recent years. Numerous studies investigated the po…

Details